毎月20名限定
無料相談実施中!
- 抜歯はイヤ、歯を残したい...
- 歯を失っていくのが不安...
- 骨がないため「インプラントが
出来ない」と言われた - 治療期間や費用、
痛みなどの話が聞きたい
まずはお気軽に
「無料相談」にお越しください!
東京 日本橋・八重洲の歯医者|東京マール歯科では
お電話・WEBにてご相談のご予約を受け付けています。
お気軽にお問い合わせください。
FEATURES
東京 日本橋・八重洲の歯医者
東京マール歯科が選ばれる理由
REASON
01
正確な診断
歯周ポケット測定やレントゲン・CT解析など、多角的な検査で歯周病の進行度と原因を正確に把握します。患者さま一人ひとりに最適な治療計画を立て、根拠ある治療につなげます。
REASON
02
歯周組織再生療法
歯周病で失われた骨や歯ぐきを“再び回復させる”ための治療です。歯を支える力を取り戻し、将来的な抜歯のリスクを減らすことにつながります。
REASON
03
インプラント
という選択肢
歯を失った場合、自然な噛み心地を取り戻せる治療としてインプラントをご提案しています。周囲の歯に負担をかけず、見た目・機能ともにしっかり回復できる選択肢です。
REASON
04
歯周病専門ドクター
在籍
東京 日本橋・八重洲の歯医者|東京マール歯科には日本歯周病学会の認定医が在籍し、専門性の高い診断・治療を受けられる体制を整えています。一般歯科では難しいケースにも対応でき、より精度の高い歯周病治療をご提供します。
GREETING
東京 日本橋・八重洲の歯医者|東京マール歯科
院長あいさつ
院長
脇田 真成
Masashige Wakita
コミュニケーションを
大切にし、
安心していただける
治療を心がけています
初めまして。
東京マール歯科日本橋院院長、脇田真成と申します。
当院では、その場限りの短期的な治療ではなく、長期的に「生涯、自分の歯で過ごせること」を意識した治療を重視しており、10年、20年後に良い出会いがあったと感じていたいただけるように心がけております。
資格・所属学会
- 日本歯周病学会 認定医
歯科医師
梶倉 祥吾
Shogo Kajikura
『大切な人に
対する治療を』
初めまして。
東京マール歯科日本橋院に勤務しております。梶倉祥吾と申します。
当院の理念である『大切な人に対する治療を』という想いのもと、将来を見据えた予防と精密な治療を心がけています。
資格・所属学会
- 日本歯周病学会 認定医
歯科医師
濵田 悠也
Yuya Hamada
将来を見据えた
口腔管理を
重視しております。
初めまして。
東京マール歯科日本橋院に勤務しております。濵田悠也と申します。
エビデンスに基づいた治療を大切にし、その場限りの対処ではなく、再発予防と将来を見据えた口腔管理を重視しております。
資格・所属学会
- 日本歯周病学会 認定医
POINT 日本歯周病学会認定医とは
日本歯周病学会認定医とは、学会が認めた研修施設にて3年以上、
所定のカリキュラムに従った研修を行って歯周病治療を行うための基本的な知識と技能を習得し、
所定の試験に合格した会員に与えられる資格です。
毎月20名限定
無料相談実施中!
- 抜歯はイヤ、歯を残したい...
- 歯を失っていくのが不安...
- 骨がないため「インプラントが
出来ない」と言われた - 治療期間や費用、
痛みなどの話が聞きたい
まずはお気軽に
「無料相談」にお越しください!
東京 日本橋・八重洲の歯医者|東京マール歯科では
お電話・WEBにてご相談のご予約を受け付けています。
お気軽にお問い合わせください。
TREATMENT
東京 日本橋・八重洲の歯医者|東京マール歯科
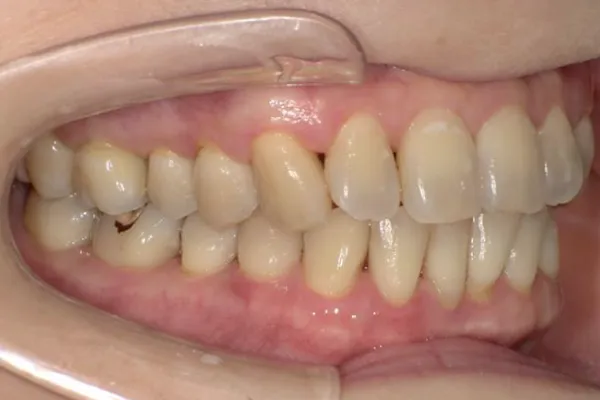
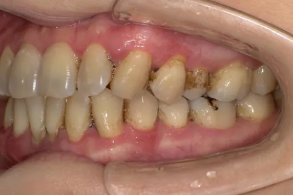
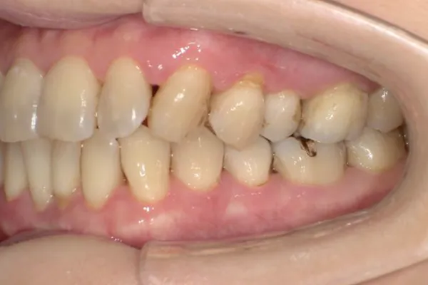
重度歯周病の治療法
-
01
FMD
短期的に炎症を沈静化
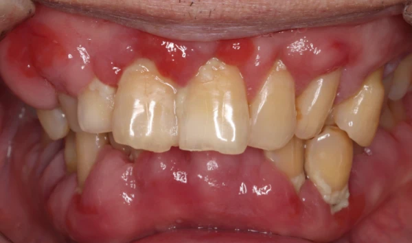
歯周病とは、原因の一番は細菌感染により引き起こされるものです。FMD(フルマウスディスインフェクション)とは、一回の治療で歯茎の中の汚れを超音波などの器具を用いて除去し、また同時に抗菌薬を投与して、口腔内の細菌を一度に除去する方法です。そのため治療回数を少なくすることができる点、歯周外科治療を避けたい方にメリットがありあす。保険診療では、歯茎の中のクリーニングは4〜8回に分けて行われることが多いため、クリーニングを行ったところにまた炎症が波及してしまうことがあります。FMDでは、一度にクリーニングすることにより、口腔内の炎症を一気に沈静化することが期待されます。
-
02
歯周組織再生療法
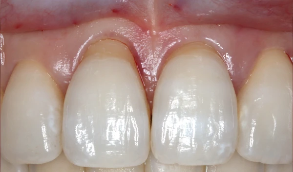
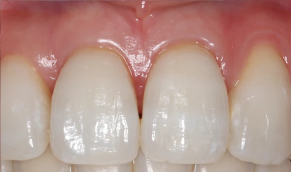
歯を残す最新治療
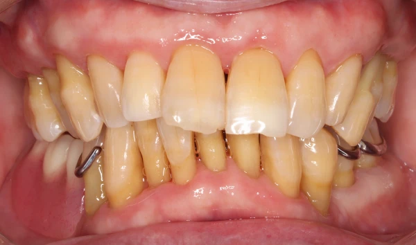
歯周病により破壊された、歯茎や骨を人工骨や成長因子などを用いて再生させる治療方法です。
将来的に抜歯となるリスクの高い歯などを歯周組織を再生させ、歯を長持ちさせることを目的とします。歯周病でダメになった歯をどうしても残したい方、歯ぐきや歯槽骨を元に戻して歯の寿命をしっかり伸ばしたい方に適応される治療方法です。 -
03
審美歯周病治療
見た目も美しく
歯周病治療を行うと歯茎が下がったとよく聞きます。残念ながら、炎症が長期に渡り存在していた歯茎や、重度歯周病では、治療を行うことにより歯茎が下がり炎症が除去されると歯茎が下がってしましやすいです。そういった場合、セラミックス治療を行うことで審美的に改善を図ることがあります。
また、歯周病はないのに、歯茎が下がってしまうことによる審美性が損なわれてしまう病気があります。そのような場合、歯茎の移植などを行うことにより、歯を削ることなく審美性を改善させることができます。 -
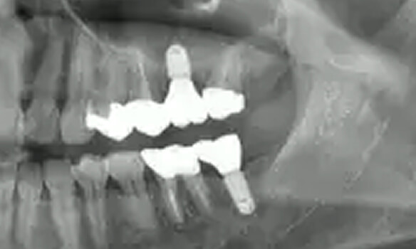
04
抜歯になった際の
インプラントインプラントも対応
歯周病により破壊された、歯茎や骨を人工骨や成長因子などを用いて再生させる治療方法です。将来的に抜歯となるリスクの高い歯などを歯周組織を再生させ、歯を長持ちさせることを目的とします。歯周病でダメになった歯をどうしても残したい方、歯ぐきや歯槽骨を元に戻して歯の寿命をしっかり伸ばしたい方に適応される治療方法です。
FLOW
東京 日本橋・八重洲の歯医者|東京マール歯科
歯周病治療の流れ
-
01.
ご予約・お問い合わせ
まずはお気軽にご相談ください。ご来院の際には診察券をお持ち下さい。
-
02.
精密検査
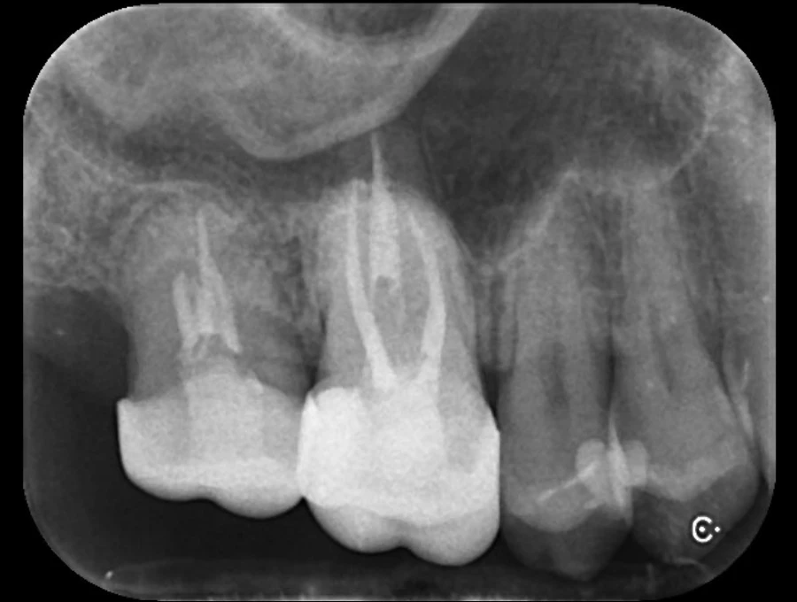
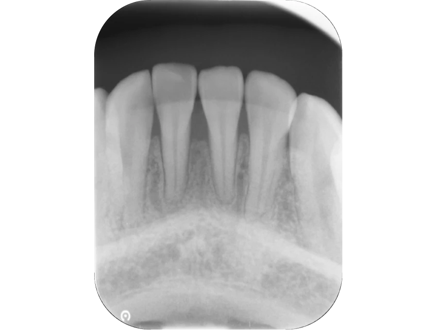
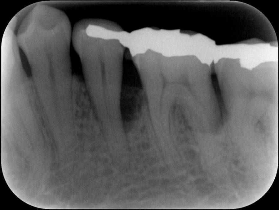
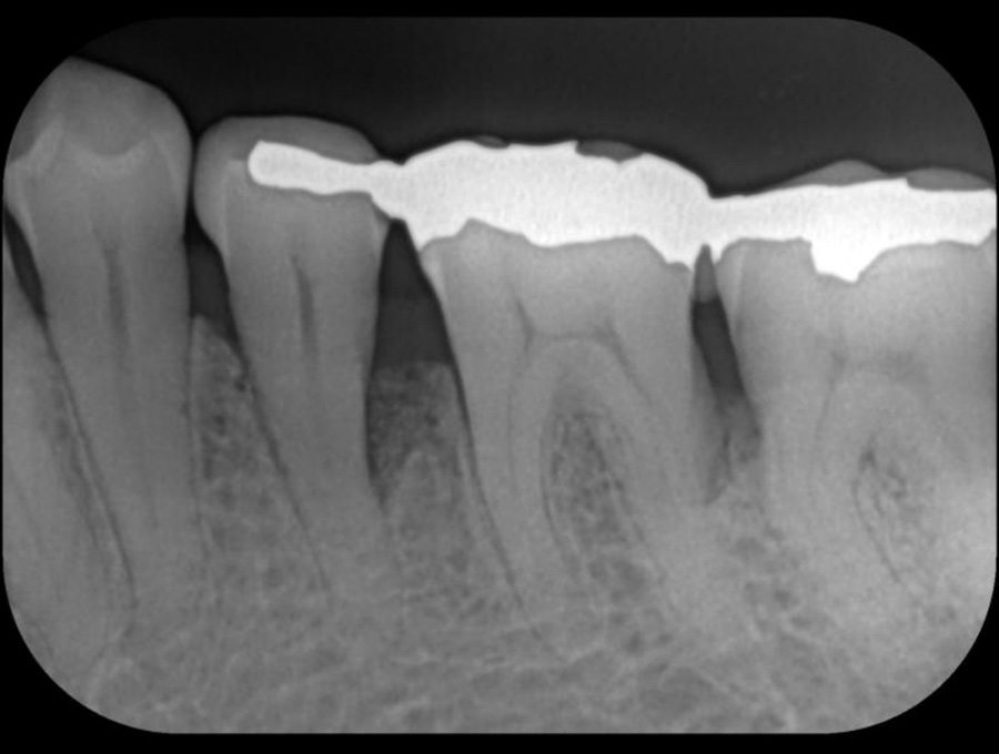
実際にお口の中の状態をチェックしていきます。レントゲン撮影にて歯や骨の検査を行い、虫歯や治療痕のチェック、歯周病検査などの各種検査を行い、総合的な診断を下します。
-
03.
歯石や歯垢
(プラーク)除去中等度~重度の歯周炎の場合、歯石が深くまであるため取りきれません。このような場合は外科的な治療が必要となります。
麻酔をしてから歯肉の切開をし、歯と歯肉の間に溜まっていた歯石や歯垢(プラーク)除去します。 -
04.
メインテナンス
口の中の細菌を完全になくすことは難しく歯周病は再発し易いので、治療完了後も定期的なメインテナンスが必要となります。
再発防止には、患者さま自身による歯垢(プラーク)のコントロールだけでなく、定期的に歯科医師や歯科衛生士による検診・治療を受け、歯をメインテナンスすることが重要です。
FIRST
初めての方へ
-
所要時間
- 約1時間(ゆっくりお話をお伺います)
-
費用
- ¥3,000〜¥5,000 (保険3割負担)
-
担当医
- 当院長・歯周病認定医 脇田 真成
お支払い方法について
すべてのお支払い(保険診療・自費診療)に
クレジットカードをご利用いただけます。
“保険診療”でも“自費診療”でも
クレジットカードが使えます。
“保険診療”でも“自費診療”でも
クレジットカードが使えます。
大学病院ではなく 当院が選ばれる理由
-
01
かかる時間
の
違い- 紹介状不要
- 取りやすい予約と速やかで専門的な検査
- スピーディな治療で通院期間を大幅に短縮することが可能
-
02
技術の違い
- 歯周病専門ドクターが歯周病治療を担当
- 大学病院では導入されていない、新しい術式に対応
-
03
口腔内
トータルケア- 問題のある部分だけでなく、原因や周囲の状態を含めた包括的な治療計画
- 患者様一人ひとりのライフスタイルに合わせ、通院回数・治療期間を最適化したスケジュールのご提案
FAQ
よくあるご質問
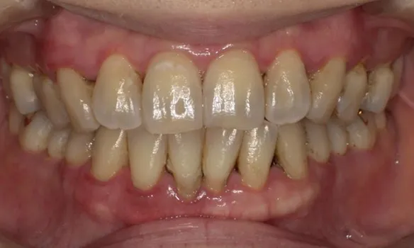
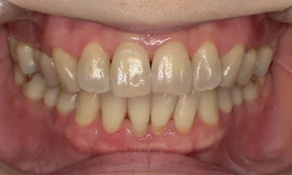
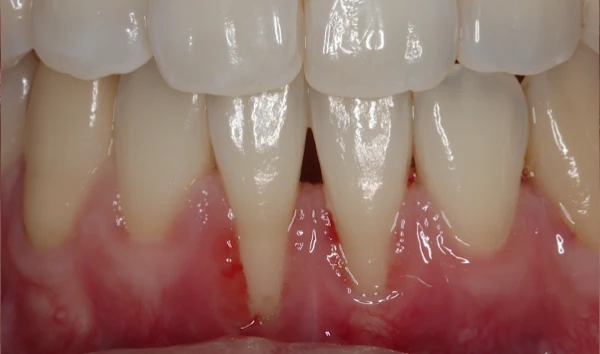
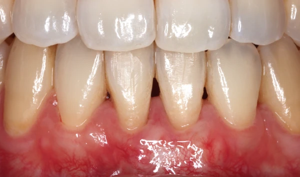
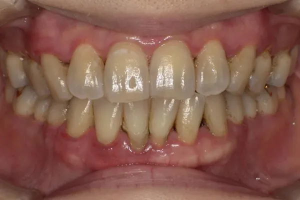
- 歯ぐきが下がって歯が長く見えます。治せますか?
-
東京マール歯科 日本橋院 院長脇田 真成
歯周病で歯ぐきが下がると、歯根が露出し、見た目やしみる症状の原因になります。歯ぐきの移植(根面被覆術)などの治療で改善できる場合があります。
- 歯周病を予防するにはどうすればいいですか?
-
東京マール歯科 日本橋院 院長脇田 真成
歯周病予防には、毎日の丁寧な歯磨きと、歯科医院での定期的なメインテナンスが欠かせません。
セルフケアだけでは落とせない汚れを専門的に除去することで、歯周病の進行を大きく防ぐことができます。
- 歯ぐきが腫れて痛いのですが、歯周病でしょうか?
-
東京マール歯科 日本橋院 院長脇田 真成
歯ぐきの腫れや痛みは歯周病の代表的な症状ですが、必ずしも歯周病とは限りません。
早期発見が大切なため、原因を正確に診断するためにも一度ご来院いただくことをおすすめします。
毎月20名限定
無料相談実施中!
- 抜歯はイヤ、歯を残したい...
- 歯を失っていくのが不安...
- 骨がないため「インプラントが
出来ない」と言われた - 治療期間や費用、
痛みなどの話が聞きたい
まずはお気軽に
「無料相談」にお越しください!
お電話・WEBにてご相談のご予約を受け付けています。
お気軽にお問い合わせください。
































